Malattie croniche: miastenia grave, sintomi e diagnosi
di Redazione
26/02/2018
Tra le malattie croniche poco conosciute vi è sicuramente la miastenia grave, una patologia che va ad alterare non solo la funzione dei muscoli ma anche quella dei nervi che li controllano. Si tratta di una malattia che si sviluppa in seguito ad una serie di meccanismi di autoimmunità ed i muscoli la cui funzione viene alterata sono, in particolare, quelli scheletrici che vengono comandati in maniera volontaria e mediante i quali è possibile, tra le altre cose, camminare.
Miastenia, tutti i sintomi
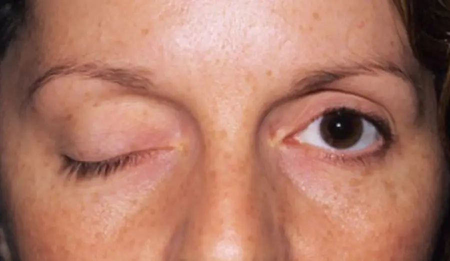
Tra i sintomi più comuni nei soggetti con miastenia grave vi è la sensazione di stanchezza a carico dei muscoli che sopraggiunge in tempi molto rapidi e che è possibile eliminare solo con un periodo di riposo. Anche i muscoli che controllano i movimenti di occhi e palpebre, quelli che consentono la masticazione e quelli che modificano l'espressione del viso possono essere, in alcuni casi, colpiti. La miastenia è considerata una malattia rara con un caso accertato ogni 5000 persone anche se gli esperti ritengono che i casi reali siano maggiori di quelli individuati: colpisce sia l'uomo che la donna, senza distinzione di età o razza annche se le più colpite sono le donne tra i 20 ed i 50 anni e gli uomini tra i 50 ed i 60 anni. Non è ad oggi stata individuata una causa della miastenia grave anche se in un quarto dei casi è stata associata alla presenza di un tumore, chiamato timoma, a carico del timo, uno degli organi del sistema immunitario; non è chiaro se venga trasmessa per via ereditaria in quanto ad oggi tale trasmissione non è stata dimostrata.Come formulare una diagnosi di miastenia
E' necessario raccogliere l'intera storia clinica del paziente colpito da miastenia grave prima di poter formulare una diagnosi accurata, unitamente ad una visita specifica e alla valutazione dei suoi sintomi muscolari; nel corso della visita bisognerà concentrarsi in particolare sulle funzioni del sistema nervoso, in merito alle quali è possibile effettuare diversi tipi di esami come la ricerca degli anticorpi anti-recettori dell'acetilcolina; altro esame consiste nella ricerca degli anticorpi anti-MUSK ma occorre sottolineare che in alcune persone affette da miastenia grave la ricerca di anticorpi anti-recettori dell'acetilcolina e di anticorpi anti-MUSK può dare esito negativo: in questi casi esiste una terza possibilità ovvero l'elettromiografia a fibra singola che consente di verificare la diffusione degli stimoli lungo le fibre nervose. Mediante utilizzo di edrofonio cloruro somministrato per via endovenosa, è possibile in caso di riduzione della debolezza muscolare, diagnosticare la miastenia grave.Terapie e cure per la miastenia
Ad oggi non esistono cure specifiche che consentano di guarire dalla miastenia grave, patologia che però in alcuni casi può risolversi spontaneamente. E' comunque possibile controllarne i sintomi utilizzando alcuni farmaci ad hoc che vanno a facilitare la stimolazione, da parte delle fibre nervose, dei muscoli. Altri farmaci invece sopprimono la produzione degli auto-anticorpi diretti contro i recettori dell’acetilcolina. Il quadro clinico può essere migliorato, in alcuni casi, anche asportando il timo, organo coinvolto nelle funzioni del sistema immunitario oppure mediante la plasmaferesi, andando cioè a 'filtrare' il sangue allo scopo di eliminare gli auto-anticorpi responsabili dell'alterazione della funzione dei muscoli. La conseguenza è una netta e rapida diminuzione dei sintomi. Da segnalare infine, tra le terapie per la miastenia, il trattamento di somministrazione di gammaglobuline, che consente di 'rimodulare' il funzionamento del sistema immunitario.Articolo Precedente
Street food
Articolo Successivo
Dentisti in Croazia prezzi: confronto con i dentisti Italiani
Redazione