Malattie rare: aceruloplasminemia, cos'è e quali sono i sintomi
di Redazione
16/01/2018
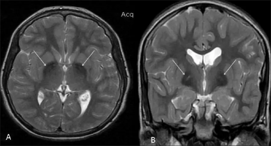
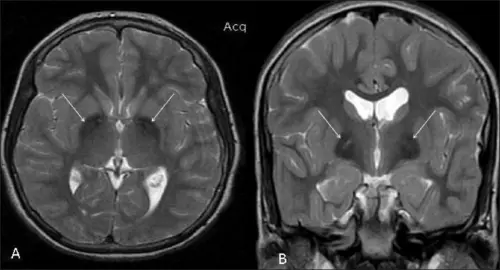
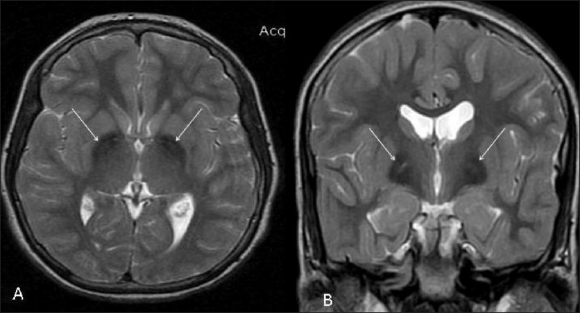
E' considerata una malattia genetica molto rara l'aceruloplasminemia, una patologia caratterizzata da un forte accumulo di ferro in alcuni organi del nostro organismo, tra i quali fegato e cervello. E' la conseguenza dell'assenza di ceruloplasmina, una glicoproteina fondamentale per trasportare il rame ma, soprattutto, per rimuovere il ferro dai tessuti grazie all'attività dell'enzima ferrossidasi. L'aceruloplasminemia si manifesta verso i 30 anni, quando i primi sintomi cominciano a comparire.
I sintomi dell'aceruloplasminemia
Il primo segnale di allarme legato all'aceruloplasminemia è certamente il diabete o il danno pancreatico conseguente all'accumulo di ferro nelle cellule beta responsabili della produzione di insulina. Se accompagnato da una degenerazione della retina può essere l'elemento che indica l'insorgere di questa rara malattia genetica, provocata, come sopra accennato, da mutazioni nel gene della ceruloplasmina e dunque da problematiche nel processo di metabolismo del ferro. Occorre sottolineare che questa patologia viene ereditata dai genitori, tramsettendosi ai figli solo nel caso di ereditarietà delle due copie alterate del gene da entrambe i genitori. Tra i sintomi che compaiono in ettà più avanzata, ovvero tra i 40 e i 50 anni, vi sono tremori, difficoltà ad articolare le parole, ed altri sintomi neurologici come la rigidità del movimento e anche la demenza.Come diagnosticare l'aceruloplasminemia
Non è facile fare una diagnosi accurata di questa malattia, considerando il fatto che in Europa le stime epidemiologiche parlano addirittura di meno di un caso su un milione. L'aceruloplasminemia si manifesta con maggiore frequenza in Giappone ma sempre in forma rara, con un caso registrato oggni 1-2 milioni di matrimoni tra non consanguinei; inoltre sia l'uomo che la donna vengono colpiti in egual misura. Inoltre, a differenza di quanto avviene con la malattia di Wilson, non si riscontrano apparenti difetti per quantro riguarda il metabolismo del rame; invece il danno è legato all'eccessivo accumulo di ferro nei tessuti ed oltre al fegato può essere localizzato anche nel pancreas e nel tessuto nervoso dando origine a forme di decadimento di cognitivo come la demenza.Cura e terapie da seguire
La terapia da seguire è basata sulla somministrazione di chelanti del ferro come Deferoxamina. Si tratta di sostanze in grado di catturare il ferro e dunque andare a ridurne l'accumulo; si tratta però di protocolli terapeutici sperimentali, i cui risultati sembrano essere positivi nell'ottica di una prevenzione dell'accumulo di ferro nel sistema nervoso e della degenerazione neuronale. I risultati sono meno positivi nel caso di danno già instaurato in quanto questa terapia va solo a rallentare il processo degenerativo. Altre possibilità di cura prevedono trattamenti a base di zinco oppure trasfusioni di sangue, ma al momento si tratta solo di cure sperimentali che devono ancora essere testate su un maggior numero di persone con l'aceruloplasminemia per verificarne i livelli di efficacia.Articolo Precedente
Cos'è la sindrome di Angelman, sintomi e terapia
Articolo Successivo
Tendinite al ginocchio: come diagnosticarla, sintomi e cause
Redazione