Loading...

Festival della Salute Logo Festival della Salute

Morbo di Paget: cos'è, diagnosi e cura della malattia ossea

Redazione Avatar

di Redazione

20/11/2017

TITOLO
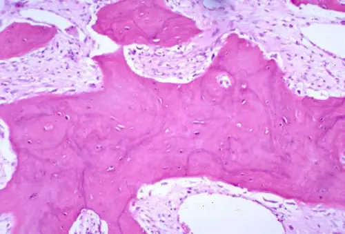
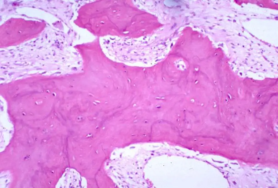
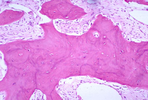
Conosciuto anche come osteite deformante, il morbo di Paget è una malattia piuttosto problematica e caratterizzata da rischi abbastanza seri per quanto riguarda l'integrità strutturale dello scheletro. Chi viene colpito dalla malattia ossea di Paget subisce una vera e propria alterazione, a ritmi esagerati e senza un'evoluzione logica, del rimodellamento osseo. La malattia ossea di Paget infatti predispone le ossa a malformazioni di varia natura e le rende maggiormente soggette alle fratture poichè viene intaccato il rinnovamento osseo, processo metabolico di fondamentale importanza poichè comporta il rinnovamento dell'osso attraverso la sua distruzione e ricrescita. Il problema interessa dunque l'equilibrio tra la distruzione della matrice ossea e la sua riformazzione, rendendo di fatto l'osso più debole a causa di un processo distruttivo che aumenta il rischio di fratture.

La diagnosi del morbo di Paget

Diagnosticare il morbo di Paget non sempre è immediato: può accadere in modo del tutto casuale oppure in seguito all'analisi di alcuni specifici e sospetti segni clinici, attraverso l'esame Rx per ottenere il rilievo radiologico del segmento scheletrico caratterizzato dal disturbo. In alternativa è possibile optare per la biopsia ossea, anche se si tratta di un'indagine richiesta in situazioni eccezionali ed in particolare quando i medici sospettano un'evoluzione maligna del morbo di Paget. I classici esami del sangue e delle urine rappresentano un altro elemento di grande importanza: rilevando infatti valori di fosfatasi alcalina (in combinazione con parametri non alterati di calcio, fosfato e aminotransferasi) superiori alla norma, è possibile diagnosticare la presenza della patologia. Infatti la fosfatasi alcalina totale sierica è considerato il marcatore di prima scelta non solo per la diagnosi del morbo di Paget ma anche per il suo successivo monitoraggio.

Sintomi Morbo di Paget

Riconoscere i primi sintomi correlati al morbo di Paget non è per nulla semplice tanto che molte persone non sanno di esserne affette. Spesso ci si rende conto di averlo in seguito alle prime complicazioni: è bene però prestare attenzione al dolore osseo, primo segnale legato alla presenza del disturbo; può interessare un osso specifico oppure ossa diverse, in ogni parte del corpo, dal cranio al femore; dunque i sintomi da tenere in considerazione sono il dolore alle ossa e la rigidità articolare, con un dolore spesso persistente per molto tempo. Il formicolio, l'intorpidimento e la debolezza; e le deformità ossee come le bozze frontali sul cranio o l'aumento delle dimensioni della testa. In alcuni casi può inoltre verificarsi un aumento della temperatura cutanea, nelle aree del corpo nelle quali è attiva la malattia. I sintomi meno comuni sono invece la possibile perdita dell'udito e il tinnito, in conseguenza della compressione dell'ottavo nervo cranico vestibbococleare; il dolore e l'intorpidimento lungo il decorso di un nervo, la stenosi spinale, ovvero il restringimento del midollo spinale e dei nervi; l'inclinazione delle ossa lunghe e le vertigini e mal di testa, che possono insorgere in seguito all'eccessiva crescita delle ossa del cranio. La progressione del morbo di Paget è solitamente molto lenta tanto che è possibile intervenire per tempo così da curarla nel modo migliore, ma è sempre necessario intervenire per evitare ulteriori complicazioni con il rischio di cronicità. Da segnalare infine che questa malattia non è correlata all'osteoporosi.

La cura della malattia di Paget, come intervenire

Curare questa patologia è possibile utilizzando adeguati farmaci che possono servire sia per prevenire che per ritardare la progressione delle complicanze. Il trattamento farmacologico prevede l'utilizzo di bifosfonati e calcitonina che aiutano a rallentare il forsennato ritmo del turnover osseo, andando a mettere un freno all'attività delle cellulee ossee. Il primo trattamento avviene solitamente con i bifosfonati che consentono di alleviare il dolore osseo ed oltre a ripristinare la normale istologia ossea sono anche in grado di portare alla guarigione delle lesioni osteolitiche. La calcitonina viene prescritta dal medico quando il paziente non può tollerare i bifosfonati: si tratta di un ormone naturale prodotto dalla tiroide che regola il calcio presente nelle ossa ed il metabolismo osseo; la terapia porta ad una rapida riduzione del dolore, normalizzando i livelli di calcio e migliorando anche l'aspetto radiologico dell'osso pagetico. Si opta per la chirurgia solo nel caso in cui vi siano serie complicanze del morbo di Paget ovveroo le fratture, una grave artrite degenerativa o eventuali deformità dell'osso.
Redazione

Redazione